Recuperar una sonrisa completa y funcional es posible gracias a los avances en prótesis dentales. Hoy en día, existen diferentes tipos de prótesis dentales fijas que permiten reemplazar dientes perdidos de manera estética, segura y duradera.
En Zahne, con Clínica Dental en Arroyomolinos y Leganés, somos especialistas en rehabilitaciones completas, implantología y prótesis de alta estética, ofreciendo soluciones personalizadas según las necesidades de cada paciente.
Cuando se pierde uno o varios dientes, no solo se afecta la apariencia, sino también la masticación, el habla y la salud del hueso maxilar. Por eso, elegir la prótesis adecuada es una decisión clave para mantener una buena calidad de vida.
En este artículo te explicamos qué son las prótesis fijas, qué tipos existen, cómo se colocan, cuáles son sus ventajas y cómo elegir la mejor opción en función de tu caso.
Qué es una prótesis dental fija
Una prótesis dental fija es una restauración que reemplaza uno o varios dientes de forma permanente. A diferencia de las prótesis removibles, que el paciente puede quitar y poner, las prótesis fijas se cementan o atornillan en la boca y solo pueden ser retiradas por el odontólogo.
Su objetivo es restaurar tanto la función masticatoria como la estética dental, ofreciendo una solución que se siente y se ve como un diente natural. Estas prótesis pueden apoyarse en dientes naturales o en implantes dentales, según las condiciones de cada paciente.
Cuándo se recomienda una prótesis dental fija
Las prótesis fijas están indicadas en los siguientes casos:
- Pérdida de uno o varios dientes.
- Dientes gravemente dañados o fracturados.
- Desgaste severo de las piezas por bruxismo.
- Rehabilitaciones completas por edentulismo.
- Sustitución de prótesis removibles antiguas.
En Zahne realizamos un estudio completo con TAC 3D y escáner intraoral, para evaluar el estado del hueso, las encías y los dientes de soporte. Esto permite planificar la rehabilitación con máxima precisión y estética.
Tipos de prótesis dentales fijas
Existen varios tipos de prótesis fijas según el tipo de soporte (dientes naturales o implantes) y los materiales utilizados. A continuación explicamos las principales.
1. Coronas dentales o fundas
Las coronas dentales son prótesis individuales que cubren completamente un diente dañado o reconstruido. Se utilizan cuando el diente aún conserva su raíz, pero necesita refuerzo por desgaste, caries o fractura.
Materiales más utilizados:
- Metal-cerámica: combina resistencia con estética. Ideal para molares.
- Zirconio: material totalmente cerámico, de alta estética y gran durabilidad.
- Disilicato de litio: ofrece un acabado translúcido muy similar al esmalte natural.
En Zahne recomendamos coronas de zirconio o disilicato para restauraciones visibles, y opciones metálicas o mixtas en sectores posteriores que requieren mayor resistencia.
2. Puentes dentales fijos
Los puentes dentales se utilizan para reemplazar uno o varios dientes ausentes apoyándose en los dientes vecinos. Estos dientes, llamados pilares, se tallan y sobre ellos se cementa una estructura que sostiene las coronas intermedias.
Son una excelente opción cuando el paciente no puede o no desea colocarse implantes, siempre que los dientes adyacentes estén sanos y fuertes.
Ventajas principales:
- Solución rápida y estética.
- No requiere cirugía.
- Devuelve la función masticatoria y fonética.
Inconvenientes:
- Es necesario tallar los dientes contiguos.
- No evita la reabsorción ósea en la zona sin diente.
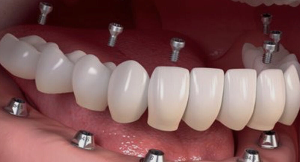
3. Prótesis sobre implantes (fijas atornilladas o cementadas)
Las prótesis sobre implantes son el tratamiento más avanzado y estable para reemplazar dientes perdidos. Los implantes actúan como raíces artificiales sobre las que se colocan coronas o estructuras completas.
Dependiendo del número de piezas ausentes, existen varias modalidades:
- Implante unitario: sustituye un solo diente.
- Puente sobre implantes: reemplaza varias piezas seguidas.
- Prótesis fija completa sobre implantes: rehabilita toda una arcada dental (superior o inferior).
En Zahne utilizamos implantes suecos de máxima calidad y técnicas de cirugía guiada por ordenador para garantizar precisión y confort.
Este tipo de prótesis permite recuperar la estética, la función y la sensación de tener dientes naturales.
4. Prótesis híbridas fijas (metal-resina o metal-cerámica)
Las prótesis híbridas fijas combinan una estructura metálica atornillada sobre implantes con una parte estética fabricada en resina o cerámica. Son ideales para pacientes con pérdida total de dientes que buscan una rehabilitación completa y estable.
Ventajas:
- Alta resistencia y durabilidad.
- Fácil mantenimiento y reparación.
- Excelente relación entre coste y resultado estético.
Este tipo de prótesis se diseña digitalmente y se ajusta a la anatomía facial del paciente, logrando un resultado armónico y funcional.
5. Prótesis completas fijas tipo All-on-4 o All-on-6
Estas técnicas permiten colocar una prótesis fija completa apoyada sobre solo 4 o 6 implantes estratégicamente distribuidos. Son muy utilizadas en rehabilitaciones totales del maxilar o la mandíbula.
Ventajas:
- Menor número de implantes.
- Recuperación funcional inmediata.
- Reducción de costes y tiempo de tratamiento.
- Resultados altamente estéticos y estables.
En Zahne, estas prótesis se planifican con tecnología CAD/CAM, asegurando una adaptación perfecta y un resultado natural.
Materiales más usados en prótesis dentales fijas
La elección del material influye directamente en la estética, durabilidad y comodidad del paciente. Los más comunes son:
- Zirconio: estética superior, sin metal, translúcido y muy resistente.
- Disilicato de litio: excelente translucidez y precisión de ajuste.
- Metal-cerámica: resistente y funcional, aunque menos estética.
- Resina compuesta: más económica, adecuada para prótesis provisionales.
En Zahne trabajamos únicamente con materiales de alta gama y marcas premium, garantizando biocompatibilidad y resultados duraderos.
Cómo se colocan las prótesis dentales fijas
El proceso varía según el tipo de prótesis, pero en general incluye las siguientes fases:
- Evaluación inicial y diagnóstico.
Se realiza un estudio clínico y radiográfico para definir el tratamiento adecuado. - Preparación de los dientes o colocación de implantes.
Si se trata de una prótesis sobre dientes, se tallan las piezas de soporte.
Si es sobre implantes, se colocan las raíces artificiales. - Toma de impresiones digitales.
Se utiliza un escáner intraoral para registrar la forma exacta de la boca sin necesidad de moldes convencionales. - Diseño y fabricación.
Las prótesis se diseñan digitalmente (CAD/CAM) para lograr un ajuste perfecto y un acabado natural. - Colocación y ajuste final.
El odontólogo coloca la prótesis definitiva y realiza los ajustes oclusales necesarios para una función óptima.
Ventajas de las prótesis fijas frente a las removibles
- Mayor comodidad: no se mueven ni se retiran.
- Estética superior: imitan a la perfección los dientes naturales.
- Masticación eficaz: permiten comer sin limitaciones.
- Mejor pronunciación: no interfieren con el habla.
- Prevención de la pérdida de hueso: en el caso de las prótesis sobre implantes.
- Larga duración con mantenimiento adecuado.
Las prótesis fijas ofrecen una sensación de naturalidad y seguridad que las hace prácticamente indistinguibles de los dientes originales.
Cuidados y mantenimiento
Aunque las prótesis fijas son resistentes, requieren cuidados específicos para garantizar su durabilidad:
- Cepillarse después de cada comida con un cepillo de cerdas suaves.
- Usar hilo dental o cepillos interdentales especiales.
- Acudir a revisiones cada seis meses.
- Evitar alimentos muy duros o pegajosos.
- Mantener una buena higiene de las encías y de la zona alrededor de los implantes.
En Zahne realizamos revisiones periódicas y limpiezas profesionales, para prolongar la vida útil de las prótesis y mantenerlas en perfecto estado.
Cómo elegir la mejor prótesis dental fija para ti
La elección depende de múltiples factores:
- Cantidad de dientes ausentes.
- Estado de los dientes de soporte o del hueso.
- Presupuesto disponible.
- Expectativas estéticas y funcionales.
- Preferencias personales del paciente.
Durante la primera consulta, el equipo de Zahne te explicará todas las opciones disponibles y te mostrará ejemplos de casos reales para ayudarte a tomar la mejor decisión.
Ventajas de realizar tu tratamiento en Zahne
En Clínica Dental Zahne Arroyomolinos y Leganés, contamos con un equipo especializado en implantología, prótesis fija y estética dental.
Nuestro enfoque combina experiencia, tecnología y materiales de alta gama para ofrecer resultados predecibles y naturales.
- Diagnóstico digital 3D.
- Diseño y fabricación CAD/CAM.
- Implantes suecos de máxima calidad.
- Materiales premium y biocompatibles.
- Financiación sin intereses.
- Trato cercano y atención personalizada.
Cada prótesis se diseña de forma individualizada para adaptarse a tu sonrisa, tus rasgos faciales y tu forma de masticar.
Preguntas frecuentes sobre prótesis dentales fijas
1. ¿Qué tipos de prótesis fijas existen y cuál es la mejor para mí?
Existen coronas, puentes, prótesis sobre implantes, híbridas y completas tipo All-on-4 o All-on-6. La elección depende del número de dientes perdidos y del estado del hueso o de los dientes de soporte.
2. ¿Cuál es la diferencia entre una prótesis fija y una removible?
La prótesis fija se coloca de forma permanente y no se retira, mientras que la removible se quita para limpiar. Las fijas son más cómodas y estéticas.
3. ¿Las prótesis fijas requieren cirugía?
Solo si se colocan sobre implantes. En el caso de los puentes o coronas sobre dientes naturales, no es necesario ningún procedimiento quirúrgico.
4. ¿Cuánto dura una prótesis dental fija?
Con un buen mantenimiento, pueden durar más de 15 años. En Zahne, la mayoría de los tratamientos se mantienen en excelentes condiciones durante décadas.
5. ¿Qué material es mejor: zirconio o metal-cerámica?
El zirconio ofrece una estética superior y es totalmente libre de metal. La metal-cerámica es muy resistente y se recomienda en zonas posteriores.
6. ¿Se puede colocar una prótesis fija si tengo poco hueso?
Sí. Se pueden realizar injertos óseos o técnicas de regeneración que permiten colocar implantes y prótesis fijas con éxito.
7. ¿Las prótesis fijas se notan o se sienten diferentes?
No. Una vez colocadas, se integran perfectamente en la boca y se sienten como dientes naturales.
8. ¿Qué mantenimiento necesita una prótesis fija sobre implantes?
Higiene diaria con cepillo, hilo interdental y revisiones profesionales cada seis meses para garantizar su durabilidad.
9. ¿Cuánto cuesta una prótesis dental fija?
El precio depende del tipo de prótesis y del número de piezas. En Zahne ofrecemos financiación y una primera visita gratuita para valorar tu caso.
10. ¿Dónde puedo ponerme una prótesis dental fija en Arroyomolinos o Leganés?
En Clínica Dental Zahne, especialistas en prótesis e implantes, con tecnología digital avanzada y materiales premium.
Las prótesis dentales fijas representan la solución más avanzada, estética y funcional para recuperar una sonrisa completa. Permiten masticar, hablar y sonreír con total naturalidad, ofreciendo resultados que pueden durar toda la vida.
En Clínica Dental Zahne, en Arroyomolinos y Leganés, somos especialistas en prótesis fijas sobre dientes e implantes, con tecnología digital, materiales de alta gama y un enfoque totalmente personalizado.
Nuestro compromiso es ofrecerte una sonrisa que no solo se vea bien, sino que funcione perfectamente y te devuelva la confianza en ti mismo.
Solicita tu primera visita gratuita y descubre cuál es la mejor opción para ti.
En Zahne te ayudaremos a recuperar tu sonrisa, tu comodidad y tu bienestar.


